How Much Do Braces Cost in Austin?
- No Hidden Fees — All-inclusive pricing
- 0% Interest Financing — Flexible braces payment plans
- “White Gold” Rhodium Braces included (premium upgrade)
Estimate Your Affordable Braces Payment Plan
Orthodontic Cost Calculator - loading…
All-Inclusive Treatment
Average Cost of Braces in Austin, TX
If you’re wondering “how much do braces cost” in Austin, the answer typically ranges from $5,500 to $7,500. However, at Limestone Hills Orthodontics, our advanced “Green Practice” efficiency allows us to offer comprehensive treatment starting at just $4,500.
We focus on medical excellence, not corporate overhead. This means you get PhD Board-Certified level care for a fair, transparent price—without the markup of corporate chains. Our practice serves families throughout Northwest Austin including River Place, Four Points, Canyon Ridge, Jester Estates, and Cat Mountain.
Price of Braces by Type
Metal Braces
$4,500+
Ceramic Braces
$5,100+
Invisalign & Clear Aligners
$5,500+
What’s Included? (No Surprise Bills)
| Service | Others | Limestone Hills |
|---|---|---|
|
Initial Exam & 3D Scans ($450 Value)
|
Extra Fee
|
|
|
Rhodium “White Gold” Brackets
|
Not Offered
|
|
|
Emergency Visits
|
$50–$600/visit
|
|
|
Final Retainers ($500 Value)
|
Extra Fee
|
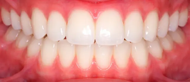
Clear Aligner Results
Braces Payment Plan & Financing Options
- 0% Interest Financing: No interest, ever, with our Orthosync financing plan
- Flexible Down Payments: Start with $189.99 down (with Cherry credit approval)
- HSA / FSA Accepted: Use your pre-tax dollars for a perfect smile
- Paid-In-Full Discount: Save an extra 3% (up to $330) by paying upfront
Conveniently Located in Northwest Austin
Transparent Braces Pricing in Austin
Metal Braces
$4,500+
Ceramic Braces
$5,100+
Invisalign
$5,500+
Braces Financing & Insurance
0% Interest Financing
Cherry Financing
HSA / FSA Accepted
Paid-In-Full Discount

Why Choose Limestone Hills for Invisalign?
Award-Winning Expertise
SmartArch™ Inventor
Owner-Operated Practice
Free 3D CT Scan Consultation
Frequently Asked Questions
How much do braces cost in Austin?
How much are dental braces for adults vs. kids?
Does Medicaid cover braces?
Do clear ceramic braces cost more?
Where can I get cheap braces without insurance?
What is included in the braces cost at Limestone Hills?
Ready to Start Your Smile Journey?
Schedule your complimentary consultation with Dr. Viecilli today. Get a personalized treatment plan, exact pricing, and braces payment plan options—no obligation.
Free consultation includes exam, 3D scan, and personalized quote • Same-day braces available