
Limestone Hills Orthodontics:
PhD & Board-Certified Orthodontist in Austin, TX
World-Class Orthodontics for Families in Northwest Austin near River Place
Among the Best Orthodontists in Austin According to Local & National Media
We are a doctor-owned boutique luxury practice led by Dr. Rodrigo Viecilli, a PhD & Board-Certified orthodontist and biomechanics expert practicing orthodontics since 2000. Our team combines the latest digital technology with personalized care trusted by thousands of local families. We’re not a corporate chain. We believe Northwest Austin families deserve the best possible care without the hassle of driving Downtown or to South Austin.
Skip the wait. We offer Same-Day Braces starts and flexible financing as low as $189.95 down.
Meet Dr. Rodrigo Viecilli, DDS, PhD
Your Top-Rated Family Orthodontist-Scientist
- 25+ years of experience (since 2000): more than 5,000 braces and aligner cases.
- Two Orthodontic Residencies, from USA and Brazil: double specialist.
- Orthodontics Adjunct Associate Professor at Loma Linda University, former Assistant Professor at NYU, recognized internationally for his leadership in orthodontic biomechanics, over 20 peer-reviewed articles and book chapters.
- Extensive expertise in pediatric and surgical orthodontics, TADs, airway orthodontics and treatment of highly complex cases.
- Creator of SmartArch™, proven by others to reduce treatment time by 40%.
- Recipient of the Milo Hellman Award, the highest research honor from the American Association of Orthodontists.

Starting Orthodontics with Us is Easy
Schedule
Choose Your Plan
Same-Day Braces
Core Orthodontic Services – Orthodontic Treatment in Austin, TX
Braces
Airway Orthodontics
Invisalign
Braces Removal
Orthodontics for Adults
Orthodontics for Children
Issues We Fix
Overbite
Underbite
Mouth Breathing
Tongue Thrust
Crossbite
Open Bite
Crowding
Spacing
Cost, Finances & Insurance
- Transparent pricing flexible payment plans with 0% APR financing
- We accept all major PPO dental insurance plans including Delta Dental, Blue Cross Blue Shield, Aetna, Guardian, Metlife and United Healthcare, and do insurance claims for you.
- We also warmly welcome patients transferring from other practices.


Advanced Orthodontic Appliances
Palatal Expander
Retainers
TMJ Mouth Guard
Herbst Appliance
Reverse Pull Headgear

Advanced Technology for Precise, Comfortable Orthodontic Care
- CBCT 3D Imaging (i-CAT Flex): Comprehensive jaw and airway views for accurate diagnosis.
- Smartarch archwires for fast treatment.
- Custom MARPE, for palatal/upper airway expansion.
- Japanese-made GC Rhodium and self-ligating ceramic braces.
- Digital Scans & 3D Planning: No messy impressions — just precise tooth movement.
- In-House 3D Printing: Faster delivery of retainers and appliances.
- Multiple Clear Aligner Options: Invisalign®, Angel Aligners™, uLab™.
- Emergency Support: Prompt care for urgent orthodontic issues.
What Our Patients Say
Smile Gallery: Invisalign & Braces Before‑and‑After
Crowding: Invisalign/Clear Aligners
Deep Overbite: Braces with Bite-Pads
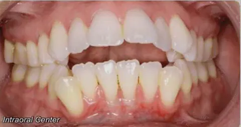
Open bite: Braces, Extractions and Myofunctional Therapy
Inside Limestone Hills Orthodontics – Austin Braces & Invisalign
Your Orthodontic Office in Northwest Austin
7300 Ranch to Market Rd 2222
Building 5, Suite 217
Austin, TX
78730
Free Parking in front of practice. Limestone Hills Orthodontics – Austin Braces & Invisalign is proud to be the trusted, board-certified choice for families in Northwest Austin. We are not a corporate chain—we are a private, doctor-owned practice dedicated to our community. Dr. Viecilli provides world-class care to his neighbors in River Place, Westlake Hills, Four Points, Jester Estates, Cat Mountain, Steiner Ranch, Northwest Hills, Anderson Mill, Tarrytown, Davenport Ranch and the surrounding 78730 area. Avoid the commute downtown and get award-winning treatment right here in your neighborhood!







